Odak Hastanesi - Otogar Karşısı Sümer Mah. İzmir Bulvarı No: 18 Merkezefendi / DENİZLİ
info@esatkiter.com
Ana Sayfa
Biyografi
Hastalarıma Özel
.ORCİD
Yazılarım
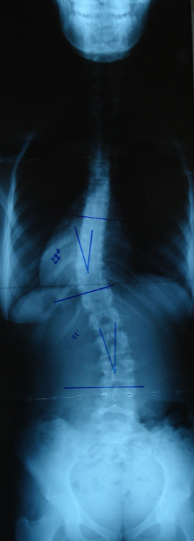
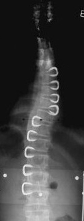
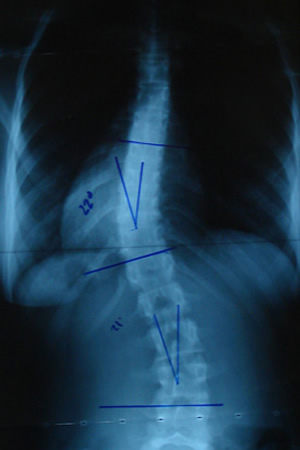
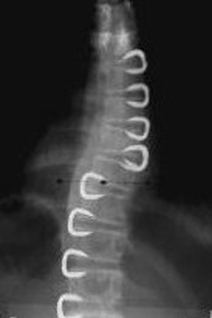
Grafilerle Skolyoz
Hasta Sözlüğü
Galeri
Resim Arşivi
Sosyal Medya
İletişim
RANDEVU İÇİN ARAYINIZ
0258 212 12 01 / 0536 688 68 69
Grafilerle Skolyoz
Anasayfa
Grafilerle Skolyoz