10 Yaş Altı Omurga Deformiteleri
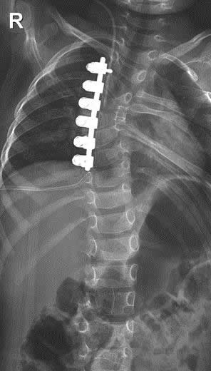
Erken çocukluk (10 yaş altı) dönemindeki omurga deformitelerinin tedavisi farklı prensiplere göre işler. Bu dönemde iskelet sisteminin büyüme potansiyelini bir avantaj olarak kullanmak tedavideki etkin yöntemlerden birisidir. Bu işlem mantık olarak, oluşan eğriliğin dışbükey tarafının fazla büyümesi ya da iç bükey tarafın az büyümesinin dengelenmesi prensibine dayanır. Sonuç olarak da dışbükey tarafın büyümesinin durdurulması hedeflenir. Aşağıdaki olgu beş yaşındadır. Dışbükey tarafın büyümesini durdurmak için ameliyat edilmiştir. İç bükey tarafın zaman içinde az da olsa büyümeye devam edeceği ve zamanla eğriliğin azalacağı ya da en azından ilerlemeyeceği öngörülmüştür. Ancak belirtmem gerekir ki, bu tarz ameliyatların belli şartları vardır ve her olgu için uygun değildir.
